抜髄根管治療法
今回、抜髄を行う第4前臼歯です。
破折により露髄していることが分かります。
ダイヤモンドバーを使用し、歯髄を開拡していきます。
ファイル(不良組織を除去するための細い棒状のやすり)を使用し、根管長(穴の深さ)を測定します。
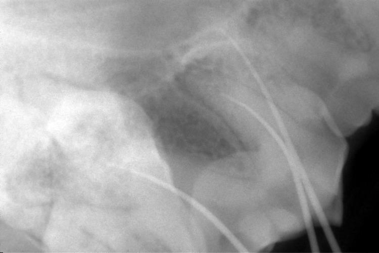
この時、ファイルが根尖まで達しているかレントゲン検査で確認します。
レントゲンにて、根管の長さと太さを確認します。

根管の太さに合わせたファイルを使用し、不良組織の除去と根管の拡大を行います。
最初は細いファイルから開始し、徐々に太くしていき根管の拡大と洗浄を繰り返します。
第4前臼歯は3根歯なのでこれを3根全てに行い、感染の可能性のある組織を全て除去します。
この時、根管に削りカスなどが残らないように、消毒と洗浄を繰り返します。
洗浄後、根管の止血・乾燥を行います。
次に根管充填を行います。
根管の充填が適切に出来ているか、レントゲンにて確認します。

歯冠部の保存・修復
エッチング(歯面をざらざらにさせてレジンをつけやすくする)
ボンディング(歯とレジンを接着させる、のりの役割)
光重合(特殊な光を当て、塗布した材料を固めます)
グラスアイオノマーセメントによる裏層(根管に充填した修復物の補強をします)
レジンの充填・形の成形
レントゲン検査を行い、適切に充填できているか確認を行いました。