*上の前歯がグラグラしている
*触ると嫌がるので痛いみたい
上顎の切歯は歯肉が後退し、すべてぐらついていました。
以前、一度歯科処置を受けられ、その後歯みがきも頑張ってされていましたので、
歯垢や歯石は多くはありませんでしたが、切歯のぐらつきは進行してしまいました。
高齢でホルモン疾患のあるワンちゃん。
「痛みがあるのなら、いっそのこと抜いて快適にしてあげた方がいいのかな」と飼い主さま。
術前検査後、飼い主様とご相談の上、歯科処置を実施しました。
スケーリング
歯周プローブ検査
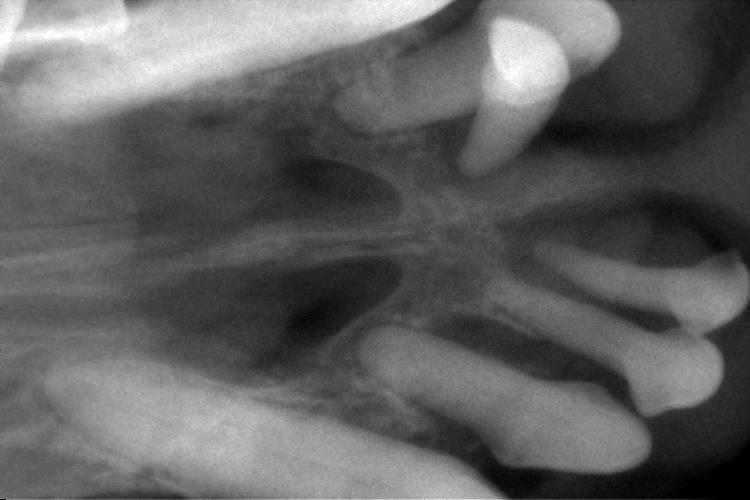
歯科レントゲン検査
上顎の切歯はすべて歯根の周りが黒く抜け、歯を支えている部分がとても少ないことがわかります。
右上顎第1後臼歯は歯周ポケットが9㎜もありぐらついていたので、レントゲンで確認したところ、
この歯も歯根部が黒く抜けていました。
これらの歯は、歯周病の進行により歯を支えている歯槽骨が吸収され、ぐらついています。
吸収がひどく、歯を残したまま痛みを取り除くのは難しいと判断し、抜歯処置を行いました。



