歯石が気になる <歯周病>(犬 ミニチュアシュナウザー 14歳)歯科症例160-①

 

 

*歯石が気になる

 

この症例のわんちゃんは、約5年前に当院で歯科処置を受けられました。

その後ご自宅での歯磨きと定期的な歯科検診を継続されていましたが、

歯石が少しずつ増えてきたため歯科処置を希望されました。(写真は歯科処置時)

 

高齢のわんちゃんでしたが

十分な術前検査を行い飼い主様と相談の上、歯科処置を実施しました。

 

 

 

プローブ検査

 

 

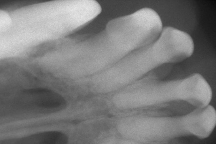
歯科レントゲン検査 

 

検査を行い、抜歯が必要な歯はありませんでした。

 

歯科症例160‐②へ

2023年12月20日