*トリミングサロンで前歯がぐらついていると言われた。
*以前から特に前歯の歯磨きを嫌がる。
とのことで来院されました。
術前検査で腎臓に問題が見つかったため、投薬を開始し、
状態が改善したのを確認してから歯科処置を行いました。
スケーリング
歯周プローブ検査
歯周ポケットの深さを測ります。
右の写真のような根分岐部病変も見られました。
歯科レントゲン検査
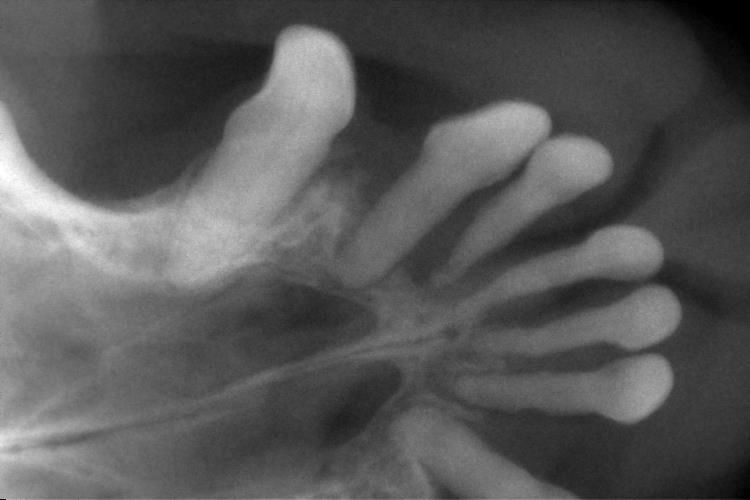
下の写真は上顎切歯のレントゲンです。
〇印は歯を支える歯槽骨が溶けてしまい、全ての切歯がぐらついていました。
下の写真は下顎切歯のレントゲンです。
〇印は上顎と同じく歯槽骨が溶け、歯がぐらついていました。
また、歯科処置の時点ですでに抜けている歯もありました。
歯のぐらつきは強い痛みの原因となります。
痛みを取り除くため、抜歯処置を行いました。







