*口臭が気になる
とのことで来院されました。
口腔内を確認すると、
右上顎の犬歯はぐらついていました。
臼歯部分には多量の歯垢・歯石がついていて歯肉炎・歯周炎も起こっていました。
麻酔下での検査・処置が必要であることをお伝えし、後日、術前検査・歯科処置を実施しました。
歯槽骨炎により右上顎犬歯部分の歯肉が腫れ、犬歯が左より長くなり(挺出・ていしゅつ)ぐらついていました。
右上顎臼歯部分です。歯が見えないぐらい歯垢・歯石が付き、歯肉が赤く炎症を起こしています。
スケーリング
付着していた歯石を取り除くと、
多くの臼歯が炎症によって歯肉が後退し、歯がぐらぐらになっていました。
歯周プローブ検査
右上顎犬歯はポケットが12㎜もあり、矢印の部分は歯肉に穴が開いていました。
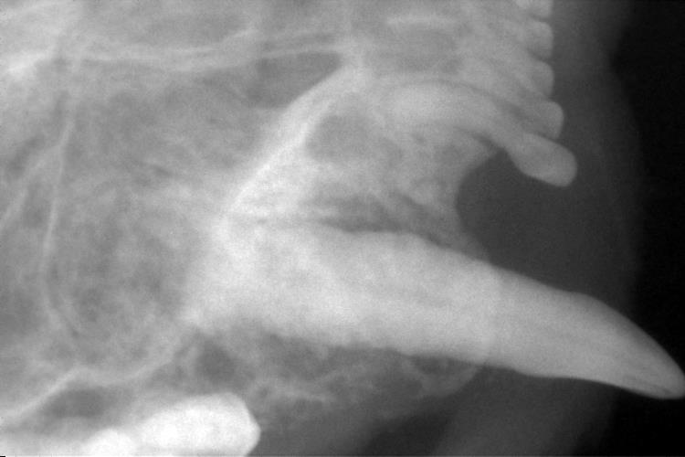
歯科レントゲン検査
右下顎臼歯です。
ぐらつきがひどく、レントゲンでも歯の周りが黒く抜け、歯槽骨が吸収されているのがわかります。
歯周ポケットが深かった右上顎犬歯も歯槽骨の吸収が見られました(青色の部分が吸収され黒く抜けています)
ぐらつきのひどい歯や歯根まで病気が及んでしまった歯などは抜歯してきれいに洗浄し縫合、
その他の歯は、歯周ポケットの中の汚れまでしっかり取り除き、お口の状態を改善できるよう治療を行いました。







