前歯の間にグレーのプルプルしたのもがはさまっている
歯みがきを嫌がる
食べ物を噛むと痛そう
以前、他院で歯石除去を受けたが、その後のホームケアが十分にできず症状が悪化してしまったとのこと。
※目に見える歯石だけを除去することは歯周病の治療ではありません。
切歯の間には汚れがつまり、上顎下顎ともにぐらついていました。
早期の歯科処置を行うことが望ましいことをお伝えし
術前検査、その後歯科処置を実施しました。
スケーリング
プローブ検査
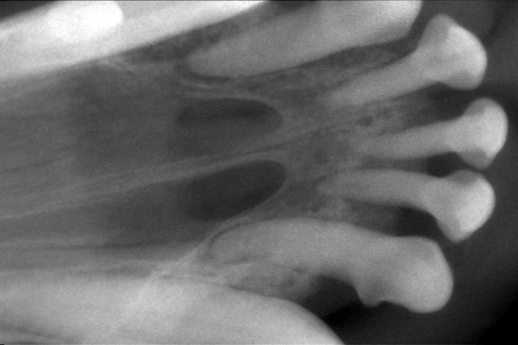
歯科レントゲン検査 ぐらついていた前歯は、歯周病の進行により歯槽骨(歯を支えている骨)が吸収されていました。
写真では歯を支える部分の骨がとても少ないことが分かります。
印をつけた2本は特にぐらつきがひどかったため抜歯処置を行いました。







