*歯が汚れている
とのことで来院されました。
この猫ちゃんは、元は野良猫ちゃんで来院される半年程前に保護されました。
口腔内を確認すると上下の臼歯部分に歯垢・歯石が多く、歯肉の発赤と後退も確認されました。
更に、多くの切歯と左下顎犬歯は既に無くなっており、左上顎犬歯の先端は破折していました。
(写真は歯科処置の時)
後日の術前検査を行い、歯科処置を実施しました。
歯神経ブロック(局所麻酔)
スケーリング
歯周プローブ検査
歯周ポケットの深さを測ります。
右下顎第2前臼歯・第1後臼歯のポケットがもっとも深く、4~5mm。
少し触ると出血する状態でした。(写真1枚目)
根分岐部病変(歯周病が進み歯槽骨が溶けてしまい歯根部が露出している状態)も起こっており、
プローブが外側から内側へ貫通しています。(写真2枚目)
歯のぐらつきもありました。
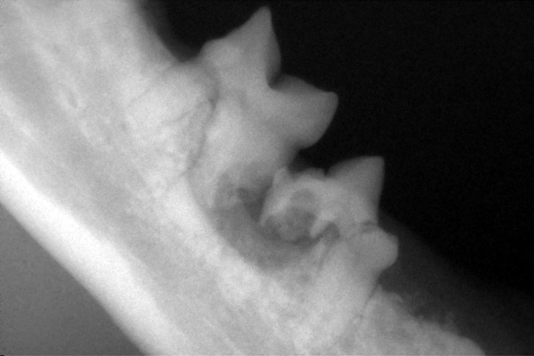
歯科レントゲン
右下顎臼歯のレントゲンです。
破歯細胞性吸収病巣により、歯根の一部が溶けていることが確認できます。(黄色斜線部分)
左下顎第1後臼歯も破歯細胞性吸収病巣により歯冠と歯根の一部が溶けていました。(歯色斜線部分)
今回の処置は、右下顎第2前臼歯・第1後臼歯の抜歯を行いました。
左下顎第1後臼歯は歯根がアンキローシス(骨性癒着)を起こしていましたので歯冠切除を行いました。
左上顎の犬歯は露髄していませんでしたので温存することにしました。







